您好!欢迎登陆长春肤康皮肤病医院网站

长春治牛皮癣医院有多少_牛皮癣在日常生活中具体有哪些危害

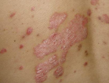
来源:长春肤康银屑病医院

  牛皮癣的发病其实与我们大家的日常行为习惯有着千丝万缕的联系。但是在日常生活中并不是所有人都知道牛皮癣的具体危害,所以只能让小编给大家介绍一下:
 
  牛皮癣会对肝脏和肾脏等器官造成损害。一些寻常型银屑病可突然转变为全身性脓疱型银屑病。此类患者可突然出现高烧、关节肿痛、全身不适等症状,并导致白细胞增多。皮肤上可能会迅速出现浓密的小脓泡。
 
  牛皮癣会导致皮肤大量脱屑,从而导致营养不良。皮屑的主要成分是蛋白质、维生素和叶酸。如果牛皮癣长年不愈或大面积蔓延,患者会出现营养不良,并伴有乏力、面色苍白、倦怠等症状。严重时会出现低蛋白血症或营养不良的盆血。
 
 
  色素沉积留在皮肤上。牛皮癣患者长期频繁外用药,皮损周围皮肤色素会堆积,形成深褐色斑块,不易去除。
 
  依赖性产生了,越用越严重:长期服用外用激素类药成瘾性很大,副作用也很严重。许多牛皮癣患者在初期服药后好转很快,皮损也很快消失。连续使用一段时间后,一旦停药,病情会迅速反弹,皮损会比以前严重。
 
  小编温馨提示,以上就是小编总结的牛皮癣的一些危害,希望对大家诊治牛皮癣有所帮助。同时,如果平时有身体不适,一定要及时去医院做全面检查!
 
  长春肤康医院皮肤专业学科建设较全,医师团队经验丰富,临床室较全,可开展常见皮肤病、区域高发皮肤病、皮肤疑难病、职业皮肤病等临床诊治。
长春治疗牛皮癣医院 /Hospital
长春牛皮癣医院

长春肤康牛皮癣医院拥有一批医术精湛、作风优良的医师队伍。长春肤康医院医院倾力打造诊疗专业化、技术权威化、服务人性化、管理合理化的就医环境......[详细]

牛皮癣医院电话
服务宗旨 /SERVICE
  • 我们
    认为
    真正治好病人的不是器械,而是医生的医术、爱心、责任心。
  • 我们
    坚持
    花费病人比较少的时间和精力,让病人获得比较显著的效果。
  • 我们
    知道
    对病人负责就是好的医德,绝不让患者多花一分钱多受一点苦。
  • 我们
    坚守
    对患者都细致入微,让患者能放心治疗、愉悦就医、康复出院。
关于肤康/HOSPITAL
长春治疗牛皮癣医院 长春肤康治疗牛皮癣医院
长春治疗牛皮癣医院哪家好 长春治疗银屑病医院
长春牛皮癣医院 长春肤康治疗银屑病医院
长春治疗牛皮癣医院环境 长春治疗牛皮癣医院

长春肤康医院 未经书面授权 禁止使用本站信息

健康热线:0431-88598120

医院地址:长春市朝阳区西安大路1566号

(西安大路与建设街交汇处)

(长朝) (中)医广[2024]第05-14-034号